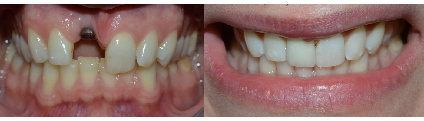
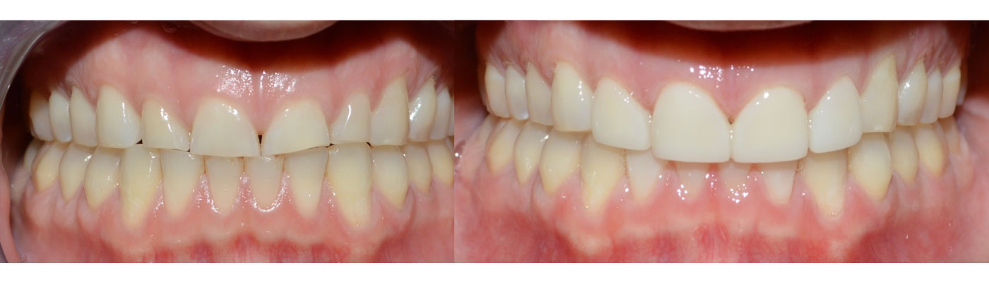
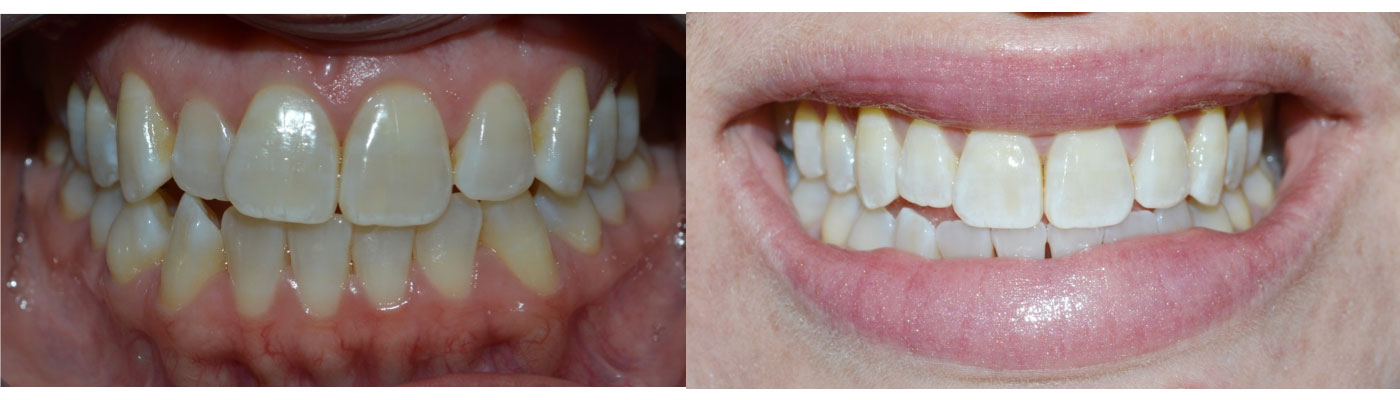
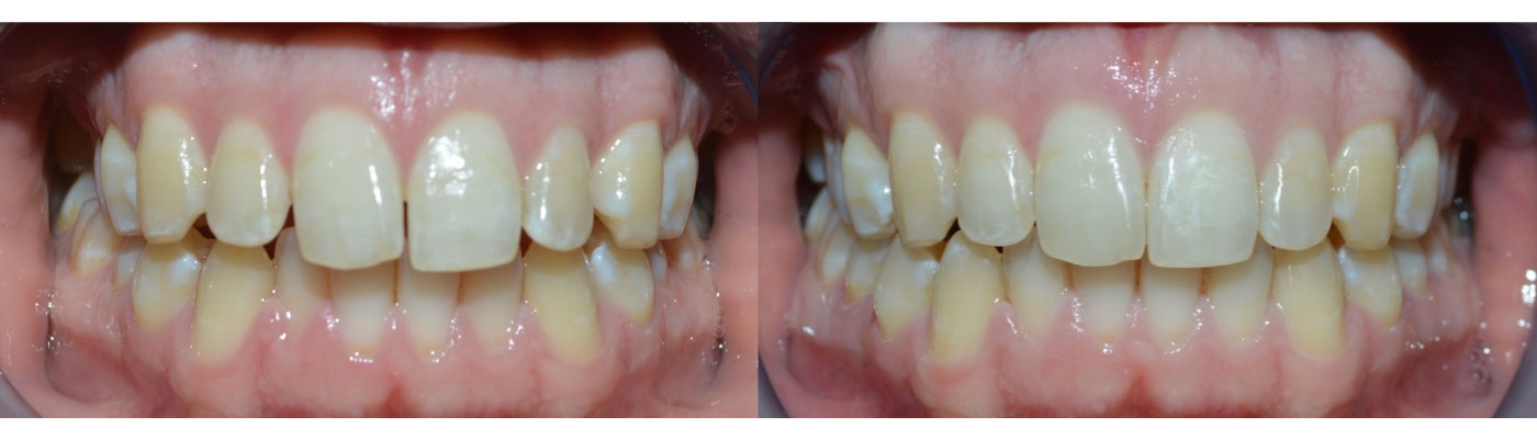
Please see below for our Invisalign® Gallery! On the left, you’ll see before images of our patients and, on the right, you’ll see the after photos. To see other patient photos, click or tap on the arrow icons.
Our offices are currently open and accepting new patients! Give us a call at (415) 248-5300 or email us with any questions.
Maya Eydelman, DMD
Please see below for our Invisalign® Gallery! On the left, you’ll see before images of our patients and, on the right, you’ll see the after photos. To see other patient photos, click or tap on the arrow icons.